新浪体育

身处逆境不言放弃:大迫杰鲁普诠释马拉松精神

体育综合

关注

在刚刚过去的这个周末,全球马拉松赛场高潮迭起,东京马拉松、美国马拉松奥运选拔赛、伦敦半程马拉松悉数上演。

在东京马拉松赛上,日本名将大迫杰以2:05:29获得第四名,再次打破由自己创造的2:05:50的日本国家记录,拿到日本最后一个东京奥运会参赛名额基本上可谓板上钉钉(如果日本琵琶湖马拉松没有其他选手再次破纪录的话)。

在美国马拉松奥运选拔赛上,名将,2016年里约奥运会马拉松铜牌获得者鲁普战胜困扰自己长达18个月的跟腱疼痛,获得冠军,成绩为2:09:20,顺利代表美国参加东京奥运会。

伦敦Big Half半马比赛中,老将贝克勒可谓一骑绝尘,以60分22秒的成绩成功夺冠,显示了自去年柏林马拉松以来的良好状态和健康身体。

这三位精英选手的名字相信广大跑者都不会陌生,可以说,他们分别代表 亚洲、北美、非洲 的顶级马拉松水平(当然非洲还有基普乔格)。

在他们创造优异成绩的同时,我们更加关心他们背后的故事,29岁大迫杰、36岁鲁普、38岁贝克勒都是在经历了较长时间困境后实现绝地反击。

这三大名将是如何经历了人生至暗时刻,又再次迎来光明,我们向广大跑者做一介绍。

一、从小就不服输的大迫杰

大迫杰自幼热爱运动,并在运动场上有着相当不错的表现。

大迫杰在初三参加全日本中学运动会3000米,就跑出了第三名的好成绩,但据他的启蒙教练介绍,当时还年幼的大迫杰并不满意第三名的成绩,满脸写着懊恼,这个孩子从小就具备了力争第一的勇气,这也成为他人生路上不断奋进的注解。

2007年,大迫杰进入以长跑闻名的佐久长圣读高中,读书期间拿到了该高中的优秀新人奖。

2010年,大迫杰进入了著名的早稻田大学。 

“跑步作家”村上春树就出自这所学校。因出色的个人能力大迫杰一跃成为学校王牌,连续四年一直代表早稻田大学箱根驿传。

入学第一年,他就在箱根驿传上演在个人区间中连超七人,轰动全场,一战成名。

2011年,大学二年级。

大迫杰以第一棒的身份参加了比赛。这一年,大迫杰不仅获得了第一棒的赛段冠军,而且帮助早稻田大学夺回了阔别18年之久的箱根接力赛总冠军。

而那个年代,与大迫杰同场竞技的选手,就有当时东洋大学的设乐悠太,东洋大学同样实力不俗,是2010、2012年箱根驿传的冠军。

也就是从那个时候开始,被誉为日本马拉松双子星的大迫杰与设乐悠太就开始了长达十余年的竞争,这种竞争从大学时代一直延续到2020年3月1日的东京马拉松赛场,这种竞争也许还将继续延续下去。

大迫杰与设乐悠太同在2018年创新日本马拉松国家记录,两人的竞争也历来是热门话题。

箱根驿传的优秀选手基本上会在毕业后选择加入实业集团的跑团,大迫杰2014年大学毕业,像他的其他前辈一样,他选择加入日清食品集团,按照通常的发展轨迹,大迫杰将成为一名职业选手,并且有机会代表日本参加更高级别的洲际乃至国际比赛。

但并不满足于成为日本一流高手的他,却走上的一条完全不同于其他日本选手的道路——赴美训练。

大迫杰加入俄勒冈计划。

耐克俄勒冈计划是由耐克公司于2001建立的一项旨在帮助提高美国中长跑水平的训练计划,它是由耐克副总裁Clarke发起,另一位核心参与人则是1980-1982年连续三届纽约马拉松赛冠军,美国著名中长跑教练斯拉查。

斯拉查注重选拔可塑性更强的年轻选手,鲁普、大迫杰就是他们中的典型代表,美国女子马拉松名将哈赛(Jordan Hasay)也是斯拉查的得意门生,遗憾的是哈赛由于受到背痛困扰,在此次美国奥运选拔赛上未能进入前三,而莫法拉也曾经是俄勒冈计划最知名的运动员。

俄勒冈计划创始人斯拉查(左)和大迫杰的教练皮特(右)

2015年3月,大迫杰正式退出日本日清实业团,正式加入俄勒冈计划,并且举家搬到美国。

事实上,这并不是一个容易做出的决定,这也意味着大迫杰放弃原来熟悉的生活,原来熟悉的训练方式,跳出了舒适区。

大迫杰的主带教练并不是斯拉查,而是皮特(Pete Julian),在他的指导下,大迫杰开始了与日本长坡训练系统不完全相同的训练,比如低氧训练、更加重视力量训练和越野跑训练等等。

大迫杰之前一直是跑从3000米到半马,速度能力是他的优势,从中距离逐步转战长距离是很多选手的选择,在他的首个全马赛事2017年波士顿马拉松赛就获得第三名,成绩2小时10分28秒。

同年,在日本福冈马拉松上,大迫杰再次刷新了自己的最好成绩,2小时07分19秒。

而大迫杰的高光时刻出现在2018年芝加哥马拉松赛,大迫杰则以打破亚洲记录和日本国家记录的2:05:50成绩获得季军。

就在大迫杰大踏步前进,如日中天的时候,大迫杰遭遇了职业生涯的低谷,2019年初东马在27公里处因为失温退赛。

在9月MGC选拔赛上最后关头未能顶住落后几秒屈居第三,遗憾失去直通机会,而就在随后的10月,由于美国反兴奋剂机构宣布对俄勒冈计划创始人斯拉查因涉嫌使用兴奋剂禁赛四年,导致俄勒冈计划被耐克中止。

大迫杰被迫远走非洲进行训练,但能承最坏的打击,能抗住压力、能面对困境全神贯注专注训练本身就体现了大迫杰作为一名世界顶级运动员的品质。

经过将近半年的努力,大迫杰王者归来,这次胜利也是对大迫杰遭遇低谷的最好回报!

二、与跟腱疼痛搏斗18个月的鲁普

鲁普是目前公认的美国马拉松一哥,加上东京奥运会,34岁的他其实已经是4届奥运会元老。

鲁普原本是一名橄榄球运动员。在一次比赛中,他被名帅斯拉查看中了,从此开始了他在跑步领域的开挂人生。

在斯拉查指导下,鲁普突飞猛进,在高中和大学打破了多项中长跑记录:

10000米的26分44秒36,5000米的13分1秒26。

● 2004年被评为“年度高中运动员”;

● 2009年获得田径年度大学生奖(Bowerman Award);

● 2011年首次参加半程马拉松(纽约马拉松)就跑了1小时30秒。

2008年北京奥运会上,他在10000米项目中获得了第13名。

2016年奥运会选拔赛是他参加的第一场马拉松。

打败美国名将 Meb Keflezighi(2015年波马冠军),获得了奥运会资格。

炎热的里约奥运会他获得马拉松铜牌,而这是他在8天前获得万米第五,体力消耗巨大的情况下所获得的。

2017年鲁普在波士顿马拉松赛上,只比冠军慢21秒,成绩为2小时9分58秒,再次刷新个人PB,取得第二名。

2017年他更是获得芝加哥马拉松赛冠军,这也是15年来第一个由美国本土选手获得的芝加哥马拉松冠军。

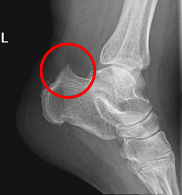
而在2018年芝加哥马拉松赛获得第五名之后,鲁普接受了手术,原因是他被一种名为Haglund畸形的跟骨疾病长期困扰。

Haglund畸形往往发生于先天遗传,这样的人群如果正常生活也许并不发生症状,但如果是运动员,需要反复牵拉跟腱,就容易导致畸形突出处与跟腱发生摩擦,严重时,甚至可以导致跟腱断裂。

而跟腱事实上也是中长跑运动员最容易出现问题的部位之一。

而在手术一年后,鲁普复出参加2019年芝加哥马拉松赛,结果鲁普在10公里处就开始出现跟腱疼痛,但他一直坚持到37公里才被迫退出比赛。

一年过去,鲁普重返赛场仍未完全康复,可见跟腱问题的复杂性!

打败运动员的未必是艰苦的训练,而是随时可能袭来的伤痛。

好在鲁普最终还是战胜了伤痛,美国奥运选拔赛,又经过半年康复和训练的鲁普显示了良好的竞技状态,跟腱也没有再成为他的“阿喀琉斯之踵”。

三、唯一可能对基普乔格构成压力的贝克勒

在2019年第46届柏林马拉松赛上,老将贝克勒以2:01:41秒的优异成绩获得冠军,仅仅比基普乔格2018年在柏林创造的马拉松世界纪录慢了2秒钟!

在近两年屡屡受到伤痛困扰的情况下,人们普遍质疑贝克勒廉颇老矣尚能饭否时,他又以自己的坚持和努力回击了人们对他的质疑!

今年38岁的贝克勒成名很早,与36岁的基普乔格基本上属于同一时代的运动员,这两名伟大运动员从中长跑赛道到马拉松赛场的缠斗已经有十来年,有点类似日本的大迫杰与设乐悠太。

事实上在中长距离项目上,贝克勒面对基普乔格是胜多负少,而到了马拉松赛场,恰恰相反。

2002年,20岁的贝克勒在都柏林赢得世界越野跑锦标赛的短距离和长距离双金,这是他首次夺得世界冠军。

2003年8月,贝克勒摘得世界田径锦标赛10000米金牌,并且创下了26:49.57的赛会纪录。

而在5000米大战,贝克勒斩获铜牌。冠军是肯尼亚名将吉普乔格,亚军是摩洛哥传奇名将奎罗伊。

2004年8月雅典奥运会,贝克勒奥运首秀,赢得10000米金牌。在5000米比赛贝克勒获得银牌,冠军是奎罗伊,季军是吉普乔格。

2005年8月,贝克勒在世锦赛上蝉联10000米金牌。而在世锦赛落幕两周之后,贝克勒在布鲁塞尔再度刷新10000米世界纪录,把成绩定格在了26:17.53,保持至今。

2006年3月,贝克勒在莫斯科赢得室内世锦赛3000米冠军。

从而,他成为史上第一个赢得奥运会、室外世锦赛、室内世锦赛以及世界越野跑锦标赛冠军的“全满贯运动员”。

2007年8月,贝克勒在日本大阪赢得世锦赛10000米“三连冠”。

2008年8月,贝克勒在北京奥运会上赢得10000米金牌,并创下奥运会纪录27:01.17。

在5000米决赛中,贝克勒后程绝杀,成就双冠王的伟业。

2009年8月,柏林世锦赛,贝克勒实现10000米的“四连冠”,成绩是26:46.31。

同样是在柏林世锦赛上,贝克勒再摘5000米金牌,成为世锦赛史上第一个男子5000米和10000米双冠王。

2014年4月,贝克勒转战马拉松,“首秀”——巴黎马拉松,他以2:05.04夺冠,创赛会纪录。

2016年9月,贝克勒在柏林马拉松赛中跑出惊人2:03:03,成为当时世界第二好成绩,仅次于基米托2:02:57的前世界纪录。

作为场地选手,贝克勒在5000、10000米取得了巨大的成功,随后转战马拉松,并且在马拉松赛场上也取得了不俗的成绩。

但也是从2016柏林马拉松后,贝克勒比赛中多次发生退赛,伤痛也困扰着他。

2017年年初,迪拜马拉松赛贝克勒伤退。

而在2018年伦敦马拉松赛上,由于高温以及组织方兔子安排不当,2:08:53的成绩也让贝克勒十分不满意,而在随后的阿姆斯特丹马拉松以及东京马拉松上贝克勒再次退赛。

那个时候,他还忙于自己酒店的生意,这也分散了他的精力。

2019年5月,荷兰前中长跑名将,全球体育传播的老板,贝克勒的经纪人乔斯赫尔姆斯(Jos Hermens)说服贝克勒前往荷兰进行训练,一名营养师和一名物理治疗师对他进行了针对性的调理。

营养师成功帮助贝克勒实现了减肥,而物理治疗师发现了贝克勒臀部发力不平衡的问题,针对性地加以训练,从而有效缓解了他的伤痛。

从去年柏林马拉松仅仅落后基普乔格创造的世界纪录2秒到伦敦半马一骑绝尘,看起来贝克勒改变了一直以来状态起起伏伏,伤痛时好时坏的问题,专注训练的贝克勒不仅克服了伤痛,也战胜了自己。

2020伦敦马拉松、甚至东京奥运会,贝克勒会是唯一一名有可能对基普乔格构成威胁的运动员吗?

四、总结

作为世界上几位最顶级的马拉松运动员,大迫杰、鲁普、贝克勒都创造了辉煌的成绩,也经历了各种各样的困难。

这些大大小小的考验也许说大不大,说小不小,但是有一点是共通的,那就是需要更多的时间去独自承受困难,而不是今天改变,明天就能收到成效。

这就需要他们能沉得住气,扎扎实实做好自己,做好每一天的工作,这样历经磨烂和时间考验,才能实现绝地反击。

马拉松是长达两个多小时的漫长较量,人生更是一场漫长的较量,身处困境不放弃,人生终将迎来柳暗花明!

跑者是不是能从三大名将的故事中受到更多启发和鼓舞呢?

(慧跑)

加载中...