新浪体育

鲁普跟腱手术后难回巅峰!跑者保护好跟腱的重要性

体育综合

关注

在上周举行的芝加哥马拉松赛上,美国名将鲁普在跟腱术后一年后复出参赛,作为俄勒冈计划培训的美国本土优秀白人选手,鲁普在过去几年取得过不俗的战绩。

● 2012年伦敦奥运会万米银牌;

● 2017年芝加哥马拉松赛冠军;

● 2018年芝加哥马拉松赛第五名;

在比赛中,鲁普在10公里处就开始出现跟腱疼痛,但他一直坚持到37公里才被迫退出比赛,十分令人惋惜。

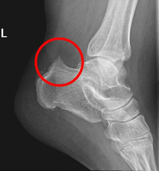
鲁普是在去年芝加哥马拉松赛后接受手术的,原因是他被一种名为 Haglund畸形 的跟骨疾病困扰。

鲁普作为知名运动员,想必接受了最好的治疗和康复,但一年过去,重返赛场仍未完全康复,可见跟腱问题的复杂性!

Haglund畸形往往表现足跟骨的背面骨质凸起。

这个凸起恰恰可能与跟腱附着处产生应力集中现象以及摩擦,从而导致疼痛,这个疾病最早由帕特里克・哈格伦德(PatrickHaglund)医生于1927年发现,因此被命名为Haglund畸形。

如果保守治疗不能有效缓解疼痛,医生可能会建议手术切除骨嵴或修复跟腱。

Haglund畸形往往发生于先天遗传,这样的人群如果正常生活也许并不发生症状,但如果是运动员,需要反复牵拉跟腱,就容易导致畸形突出处与跟腱发生摩擦,严重时,甚至可以导致跟腱断裂。

Haglund畸形常常表现为跟骨结节后外侧的突出,往往合并跟腱滑囊炎。

这也导致Haglund畸形往往被诊断为跟腱滑囊炎,主要表现为脚跟处疼痛、局部肿胀。

跟腱两侧可见膨出,局部皮肤温度可升高,跟腱内外侧均可有压痛,被动背伸踝关节可加重疼痛。只有经过影像学检查,才能明确跟骨是否存在发育异常,

跟腱疼痛是跑友遇到的常见伤痛之一,处理不当往往造成病情迁延,形成顽固性疼痛。

如果说膝痛容易发生在初跑者身上,跟腱疼痛则往往发生于资深跑者和精英跑者,这跟反复过度牵拉跟腱有关。

跟腱位于小腿下段,平均有15cm长,是人体最大最粗壮的肌腱。跑步过程中脚踝的缓冲和扒地动作,全靠这条强有力的肌腱。

跑步人群是最容易患此病变的人群,研究显示跑者的跟腱病发生率在为10%左右。并且随着年龄增长,跟腱损伤也有增多的趋势,30岁以上中年跑友更易出现这一问题,这与跟腱退化有关。

许多著名运动员也饱受跟腱损伤困扰,如刘翔、科比。

一、跟腱疼痛原因——过度使用是根源

跟腱疼痛属于非常典型的过度使用损伤,在跑步过程中,跟腱要承受高达8-12倍体重作用;

也就是说跟腱受到了巨大力量的反复牵扯,导致轻微创伤反复发生,引发了跟腱力学衰竭,并随之发生结构改变,疼痛自然难以避免。

其实,跑友常常听说的“跟腱炎”这一术语并不准确,事实上跟腱局部并不存在炎症细胞,所以定义为“跟腱病”更为精准;

以下均采用更为科学的术语——跟腱病。

跟腱病频繁发生在两个位置:

(1)跟腱腱体上疼痛(距离跟腱止点近端2-6cm);(2)跟腱止点处疼痛。

其中,跟腱腱体的疼痛比较常见。

我们今天要讨论的主要是腱体疼痛,止点疼痛更为复杂。

二、风险——不止于过度使用

如果是因为跟腱工作特辛苦,操劳过度导致罢工,那么大家都跑步,别人跑量比你还大,为什么受伤的总是你?

这就提示有些跑友可能具有某些特定风险因素而更加容易发生跟腱病,也就是说高危因素加之过度使用,使得你成为不幸的“那个跑友”。

究竟哪些因素会诱发跟腱病呢?

1、勾脚尖活动异常

在膝盖伸直状态下,如果勾脚尖幅度不够,通常被认为跟腱过紧,因此患跟腱病风险增大。

2、脚踝内外翻活动异常

脚踝除了实现屈伸运动,还具有内外翻运动,有些跑友曾经发生过崴脚,有可能导致脚踝变得松弛导致内外翻运动增加,这也是跟腱病的诱因。

3、绷脚力量弱

小腿后群肌肉是小腿最主要的一块肌肉,主要功能就是绷脚(学名跖屈),跑步时脚的扒地动作其实就是靠这块肌肉实现的,所以小腿后群肌肉力量特别重要;

当绷脚力量不足时,跟腱往往会承受更大负荷,这样就更易发生跟腱病。

4、扁平足

不少跑友都存在扁平足且相安无事,但如果扁平足同时伴随足踝力线异常(跟骨轴线与跟腱轴线不成一条直线),会对跟腱造成“鞭打效应”从而导致跟腱异常受力。

上述因素都是跟腱病发生的内在风险因素,外在的风险因素主要包括:训练不当、环境因素和跑鞋因素等。

比如跑者的训练不当包括:跑步距离突然增加、强度增加、爬坡训练、停训后重返训练上量过快等。

与夏季相比,冬季更易患跟腱病,这可能跟低温时,跟腱和筋膜组织之间摩擦增加所致。

三、症状——跟腱腱体疼痛

跟腱疼痛当然是跟腱最主要的症状,但是疼痛还有具体表现包括:

● 长时间不活动(比如睡觉,长时间静坐)之后,跟腱出现局部疼痛并感觉僵硬,活动一下后缓解;

● 刚开始运动时感觉跟腱疼痛,活动开后疼痛减轻,但快要结束时又感到疼痛,也就是活动起始结束痛,但随着病情进展,疼痛可能伴随整个运动过程,因此对运动造成很大困扰;

● 上下楼梯、蹑足行走时疼痛加重;

四、诊断——注意区分腱体和止点疼痛

● 典型疼痛位置位于跟腱腱体上,也就是跟腱附着于跟骨处(跟腱止点)上方2-6cm处;

如果疼痛部位不是在腱体上,而是在跟腱连接跟骨的位置(也就是说疼痛部位更低),那么除了跟腱病,也有可能是足跟滑囊炎、跟骨Haglund畸形等等;

● 按压跟腱腱体有疼痛感,跟腱外观可能正常也有可能呈现梭形肿大、有结节感,并伴有跟腱肿胀变粗;

● 站立位做单脚提踵动作时,患侧与健康一侧相比,提踵能力下降,比如说健测可以完成30次提踵,而患侧仅能完成20次;

● 如果病史典型,且经过保守治疗康复有效,通常不需要辅助检查。X线对于诊断跟腱病没有帮助,超声和核磁共振有助于判断跟腱结构,常用于辅助检查;

五、治疗——不是所有方法都有效

医生和治疗师已经采用大量方法用于跟腱炎的治疗,经过严谨的循证,发现有的方法的确非常有效,有的方法则可能有效,还有些方法存在争议。

建议跑友采用最有效的方法,或者咨询专业的运动损伤医生或者康复治疗师。

1、康复训练

康复训练对于跟腱病是最有效的治疗方式,但前提是跑友得把康复训练做正确。

跟腱病康复方式主要是离心训练,什么是离心训练?别着急,马上送上。

2、理疗

在诸多理疗方式中,低水平激光治疗和离子渗透疗法最为有效,而近两年广为采用的冲击波疗法研究报道存在争议。

3、拉伸

反复持续的拉伸也有助于改善勾脚尖幅度不足的情况,从而改善功能,因为勾脚尖受限是跟腱病的危险因素。

4、足矫形器

以矫形鞋垫为代表的足矫形器,对于扁平足同时伴随足踝力线异常的跑友有一定帮助,因为其可以改变跑步时错误的足踝受力。

5、贴扎

以肌贴为代表的贴扎可以减少跟腱张力,越来越多的跑友采用肌贴这一可以随意灵活使用的工具,不妨跑步时一试。

6、脚跟垫高

利用特制的脚跟垫将脚跟垫高,可以起到减轻跟腱张力的作用。但不是对每一名跑友都有效。

六、拉伸——做得更到位更充分才有效

拉伸作为最主要的放松方式,同时也是跟腱病的治疗方式,对于改善跟腱弹性,减轻跟腱压力,避免小腿肌肉紧张具有重要意义。

对于跟腱病来说,牵拉要做的动作类型更多、拉伸间更长,更彻底,而不能像跑后放松那样随便做做。

以下四个动作是跟腱病必做拉伸动作。

要求每个动作做4组,每组牵拉30秒,也就意味着四个拉伸动作就得做16组,这样才能治疗跟腱病。

1、小腿腓肠肌牵拉感最强烈的动作之一

2、小腿浅层腓肠肌站立位牵拉两个常用动作

3、小腿深层比目鱼肌的牵拉动作,后脚踩实地面,充分屈膝,感受跟上述动作不一样的牵拉感

七、康复——离心训练是最有效的方式

康复目的

前文在治疗方法中,已经提及对于跟腱病,康复训练是真正最有效的康复方式,怎么做?

1、最核心的康复方法——离心训练

找一个台阶或者凳子,脚前掌踩在上面,做快起慢落的练习,要求提踵1-2秒,而还原落下6-8秒,也就说要强化动作还原过程,而不是强调提踵过程。

通过要小腿肌肉又拉长又收缩,训练跟腱的强度。

找一台阶的目的是让脚跟悬空,下落时可以让脚跟落至低于脚前掌。

需要注意到是患跟腱病的跑友往往提踵还原过程伴随跟腱疼痛,一切康复训练都以不产生疼痛的幅度为度,切不可忍痛训练。

提踵慢落

2、压网球练习

许多跑友学会了用足底滚揉网球来放松足底筋膜肌肉,对于跟腱病来说,足底下压网球也是另一种针对跟腱的康复训练。

将网球放至足底,用小腿后群肌肉发力将网球压扁,而不是来回滚揉网球。

踩网球

3、快速勾脚练习

双脚做快递勾脚动作330-50次,直至小腿前方肌肉疲劳。

小腿前方肌肉与小腿后方肌肉互为拮抗肌群,一方面从肌肉平衡角度而言,不能只锻炼小腿后群肌;

另一方面,增强小腿前方肌肉力量可以降低小腿后群肌肉紧张度,专业术语称为交互抑制。

踝关节快速连续背屈

4、脚踝人工抗阻内外翻练习

许多跑友在训练小腿时只做提踵练习,而忽视了脚踝还具有内外翻能力,内外翻活动异常也是跟腱病发生的危险因素,所以强化内外翻训练对于稳定脚踝,减少跟腱张力具有积极意义。

可采用手握住脚前掌进行向内向外的自我对抗训练,自我对抗还可以控制阻力大小,是一种很好的训练方法

内翻抗阻。

内翻抗阻

外翻抗阻

5、落地缓冲训练

跟腱在跑步时承受了高达8-12倍体重的负荷,所以训练跟腱的缓冲能力对于跟腱提高适应性和结构强度至关重要。

踩在一个台阶上,单脚落地,注意关键动作要领是从脚前掌着地过渡到脚跟落地,落地时没有声响说明缓冲良好,同时落地后要保持单脚站立稳定2秒,这样也可以训练脚踝稳定性,有助于减少对于跟腱的“鞭打效应”。

缓冲训练

6、抓毛巾训练

一些跑友了解抓毛巾训练可以治疗足底筋膜炎,同样这一动作也可以因为增强足底肌肉扒地能力,增强落地缓冲,从而减少跟腱压力。

注意动作要领是先张开脚趾,下压毛巾再用力抓起毛巾,动作速度不可过快。

抓毛巾

7、脚踝稳定性训练

通过睁眼及闭眼单脚站立,可以有效训练脚踝稳定性,有助于跟腱病康复。

一次跟腱病康复训练安排

八、总结

跟腱的英文是Achilles,来源于古希腊战神——阿基里斯(Achilles),他因出生后被母亲抓住脚踝,身体倒挂浸在冥河水中,所以除脚踵以外,全身刀枪不入。

由于太阳神阿波罗了解阿基里斯的致命缺陷,指使人用暗箭射中阿基里斯的脚踵导致战神死亡。

这个神话故事寓意再强壮的人也有可能有薄弱部位。不要让看似粗壮的跟腱影响你的跑步!

(慧跑)

加载中...