探析-什么是胫腓骨齐断 曼联大将从此废了吗
新浪体育讯
卢克-肖的胫腓骨齐断
卢克肖遭凶铲重伤离场
卢克-肖的伤情牵动曼联球迷的心。红魔官方声明说,卢克-肖已在荷兰当地完成了手术,目前也在埃因霍温病房继续静养。从医疗角度看,这是正确的:胫腓骨齐断是一个非常痛苦的过程,在这样严重的骨折和伤处不稳定的情况下立即返回英国,不是一个明智的选择,尤其是当地能够提供非常好的医疗条件的话,当然应该留在荷兰立即手术。
那么,他到底要休养多久,康复的过程又是怎样的呢?
通常来说,胫腓骨齐断是这样造成的:如果双方接触时脚在空中,腿可能就不会断;但如果接触撞击时你的腿支撑在地上,所有的碰撞能量都通过你的小腿传导,胫骨受压弯曲后断折,又由于胫骨是很大的骨头,而腓骨和它很接近,所以腓骨也就随即断折,这就是通俗所说的“double fracture”或“tib-fib fracture”。
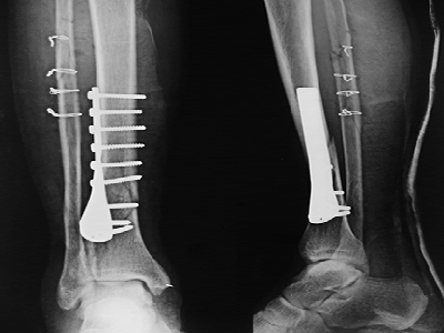
胫腓骨骨折X光图(资料图,与卢克-肖无关)
在足球场上,这其实还算是一种并不罕见的重伤伤情。《泰晤士报》医疗专家马克-波特博士就说:“这是足球界最常见的长骨伤情。”情节较轻的骨折,也许不需要手术,打上石膏等待自然愈合。但如果伤处不稳定,就需要固定:要么就是外部用支架,要么就是内部用特殊的钉子、金属板、金属棒或螺丝来固定。后者的康复速度会快一点,但不管怎样都存在愈合不良的风险。
曼联的声明说这是一次Clean break,这在医学上的含义是骨头断成两段,而不是数段,这是不幸中的万幸。但无论如何,康复是一个漫长的过程。范加尔赛后说:“我不是医生,但(胫腓骨)双重骨折那就是要休息6个月。”但极有可能,卢克-肖的赛季已经报销。通常来说,受伤球员在头两三个月不能用受伤的这只脚承重,所以必须用拐棍或其它辅助设施。
卢克-肖受伤的一瞬间
好消息是,至少负责帮助卢克-肖康复的曼联医疗部门,是足球圈最棒的医疗部门之一。《卫报》医疗专家帕尔马尔估计,曼联会让他在游泳池中进行一些运动,慢慢增加其下肢力量。在整个过程中,他将接受规律的X光和CT检查。一旦新的骨头已经长上,就可以用水下跑步机等旨在减少重力影响的设施慢慢恢复,然后再逐步增加力量训练。
整个骨头康复的过程,可能需要6到9个月。就算是最快的6个月,也要到明年3月份了。但伤势康复,并不意味着卢克-肖就立即可以返回球场。重伤球员复健过程其实有三步:1、伤处康复,对于卢克-肖来说就是骨头愈合;2、恢复比赛体能;3、证明自己有足够能力重返主力阵容。所以《泰晤士报》医疗专家马克-波特博士认为:“我非常怀疑本赛季他是否还能重返球场。”《卫报》专家帕尔马尔也说:“他将错过大部分赛季或者整个赛季。”
帕尔马尔还说:“这样重的伤情,总存在永远无法恢复到现有水平的风险,因为你永远不知道会发生什么,这或许也是卢克-肖目前正在担心的事情。”这就需要他积极乐观,和他曾经一样重伤的阿森纳中场拉姆塞就说:“在我去医院的救护车上,医生立即告诉我我会没问题的,我会重新恢复我的水平,这让我安心了不少。”
卢克-肖很年轻,这会有利于他的康复。也正因为年轻,从目前来看他情绪不是最好,这完全是可以理解的。范加尔说了他在更衣室哭泣,次日早晨给他打电话的热刺主帅波切蒂诺(曾在南安普顿带过卢克-肖)也说,“情况艰难,因为他在哭泣。”好在他的父母当晚就赶到了医院陪护,而他第一时间发出的推特也证明了他有足够的勇气走出伤情阴霾。
卢克-肖,好运!
(克韩)