新浪体育 综合体育

马匹配种季:你的马发情了吗?

新浪体育

关注

本文内容提要: 

1。如何判断母马发情?

2。马匹发情不正常的原因有哪些?

3。如何终止母马发情?

但凡五月母马的古怪脾气总被调侃发情了,不过动物的行为受饲养管理,训练,遗传的影响。有时候“发情状”行为母马是因为其他原因。

母马是季节性多次发情动物,在五月初到十月,周期21天,包括7天发情期和14天乏情期。乏情期的母马表现拒绝公马,及反感训练或者骑乘。在发情期正好相反,对其他马嚎叫,频繁渍一点尿,训练中心不在焉(不专业)。因为卵巢在晚秋,冬天及早春变小,不活跃,更适合配合教练训练。发情其实影响训练。

1。如何判断母马发情?

当你弄不明白的时候,可以用日历记录下来,是否表现出21天的周期性。如果冬天还出现这种行为,这就和发情无关。

很多母马生气或者疼痛的时候会尿尿,且来回扫尾巴,渍尿,有时也会夹紧尾巴表达情绪。和发情母马行为还是会有区别,发情母马会蹲下尿,高举尾部,尿一点点,皱缩阴蒂。

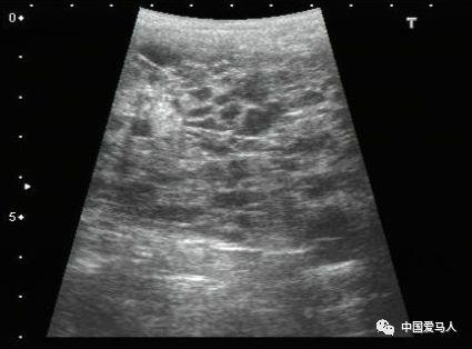
可以通过触诊或超声评估卵巢,对比乏情期的卵巢:发情期的卵巢和子宫水肿(充满液体),子宫颈松弛;乏情期会有黄体(CL),子宫颈关闭,不水肿。也可以采血分析样本,间情期的母马孕酮含量升高。

图 母体子宫体的超声图像显示明显的水肿模式。

图 A正常发情子宫颈 B 炎症子宫颈口

图 乏情期小卵泡

图 发情期子宫

图 可见为子宫中的“沙钱”或“橙片”图像。出现这种图像是因为此时子宫的变化特征。子宫有几个子宫内膜褶皱,增加子宫内膜的表面积。在发情期间,这些褶皱充满了液体,使该区域呈现橙色切片的外观。

2。马匹发情不正常的原因有哪些?

卵巢肿瘤,尿道、膀胱感染,肌肉疼痛等原因均可让母马表现相同行为。

1)卵巢肿瘤

肿瘤分泌大量激素导致母马表现持续发情症状,或者从不表现发情症状。有的母马表现出种公马一样的攻击行为,在牧场聚集,圈养后宫,例如母马间骑跨行为。通常怀疑是粒层细胞瘤,应该用超声检查卵巢,同时检测激素水平。如果存在以上情况,移除受损卵巢即可。肿瘤的占位导致卵巢分泌睾酮,移除就不会表现侵略行为。如果马主希望母马未来产驹子,可以切除一侧卵巢,但是需要数月代谢激素。通常摘除粒层细胞瘤的母马6-9个月内不再出现发情周期。一旦卵巢恢复,母马恢复发情周期。

图卵巢肿瘤

2)尿路/膀胱感染

尿路或者膀胱感染可能导致会阴不适,兽医检查后给予合适药物控制感染。尿路感染的母马可能有红肿的阴道,这可能导致它们尿频。炎症导致母马在阴道或子宫蓄尿,可借助阴道开张器解决以上问题,同时检查会阴结构。

会阴定义为外阴,肛门和周围区域。该区域的构造对于母马维持怀孕的能力很重要。如果外阴密封不能正常工作,可能会出现称为气道阴道(阴道吸风wind-sucking)的情况。空气(和细菌)被吸入阴道并可能在子宫颈和内部生殖道中定殖,导致子宫内膜炎(子宫感染)。若肛门较阴门位置偏后(较深),粪便可能会污染阴门。

通常评估外阴突出骨盆边缘的百分比,如图所见肛门在外阴上面,正常健康母马中,肛门和外阴垂直对齐,大约1 /3外阴高于骨盆边缘;若上翘过多,或没有良好的密封,兽医会使用caslick将外阴唇缝合来降低阴道吸风。

3)跛行或疼痛

不舒服当然会抓狂,类比女性的姨妈痛。疼痛排卵的母马会表现疝痛症状,它们会时不时或反复表现。记录下来母马的行为可以帮助我们判断。不是所有母马都会直肠检查判断疝痛真正原因,一般很少会检查卵巢情况,所以也很难讲疼痛排卵和疝痛联系起来。兽医的非甾体抗炎药止疼可以减轻排卵痛,如果三周后又出现反复性疝痛,我们就可以怀疑排卵导致疼痛。

3。如何终止母马发情?

1)传统方法是每日口服黄体酮(Regu-Mate产品)。口服30天后,如果仍然存在这种行为,母马的问题就和发情无关。Regu-Mate,因为它很容易被人体皮肤吸收,可能会破坏女性的月经周期或引起流产。其他方法包括注射黄体酮产品,根据说明书使用。

2)另一种合成激素是DEPO-PROVERA,但有研究表明这种人用药物无法阻止母马发情周期或抑制母马的种马行为。黄体酮或孕激素类确实有镇静作用,这可能改变行为,有助于训练。

3)一些马主或训练员试图使用牛生长激素缓释剂来抑制发情行为。它含有黄体酮,在几周内以低剂量逐渐释放到体内。牛植入物对阻止发情或改变行为无效,因为该方法每天仅释放几毫克黄体酮,实际上马需要150毫克黄体酮或等效剂来改变发情行为。

4)也有将玻璃大理石放入母马的子宫中(不推荐)。大理石欺骗子宫怀孕产生维持黄体。一小部分母马在这些弹珠残留体内数年后影响未来备孕(大理石破碎或子宫积液试图清除异物)。有些母马会排出大理石造成失败。

5)英格兰的一项研究表明,在排卵后第10天将花生油输入母体的子宫也模仿母体对妊娠的怀孕信号。 然后,孕酮可以维持60至90天,使它不再返回发情期。75-80%的母马通过这种方法维持着黄体酮分泌。缺点是需要借助超声需要确定排卵日,这增加了费用。

6)另一种选择是肌内注射催产素激素。缺点是需确定何时排卵,知道何时开始每日注射。

催产素或花生油方法诱导产生的黄体酮可以维持60至90天,兽医无法准确预测它将持续多长时间。比如说表演母马的维持黄体能否精准“维稳”,避免在表演期间发情期甚至参赛;有兽医建议,对于任何重大节目或活动,可提前1-2天给母马使用Regu-Mate,并持续使用直至活动结束。

7)存在一种疫苗可以使母马免于发情,但它目前尚未获得美国食品和药物管理局批准或在美国销售。 Equity是一种可在欧洲和澳大利亚获得的抗GnRH(促性腺激素释放激素)疫苗,这种产品可以阻止GnRH的作用,阻止卵泡生长一到两年。”

8)卵巢切除术。若母马建议在乏情期表现不佳,恐怕绝育也很难可以帮助改善。

9)补充剂以帮助减少与发情相关的行为。其中一些与潜在的镇静作用有关。但是很少有科学评估这些产品,以确定它们是否真的能够阻止发情周期或减少与发情相关的一些行为,”如果您的母马表现出不太理想的行为,请与您的兽医讨论这些问题,并检查您的治疗方案,以确定哪一种最适合她。

翻译文献:

http://www.ansci.wisc.edu/jjp1/equine/mare_anat/vulva3.html

https://thehorse.com/19902/mares-behaving-badly-is-it-estrus-or-something-else/

 (中国爱马人)

加载中...