跑鞋越高级越不容易受伤?足底疼痛的最新研究与解决方法
慧跑
现代跑鞋在对人的脚提供基本保护,防止赤足外伤的同时,在功能方面也日渐强大,缓震、稳定、回弹等等功能似乎让跑步变得更轻松更省力;
可是有这样一个客观事实无法回避的——那就是无论跑鞋如何更为高级,更具科技感,跑鞋作为跑者第一装备并不能有效降低大众跑者乃至精英运动员的伤痛发生。
并且越是成熟跑者和高级跑者,越容易受到足踝问题的困扰。
足底筋膜炎就是大众跑者最常见的足踝部位的伤痛,它主要表现为足底不适,在晨起时尤其明显,作为一种过度使用的劳损性问题,足底筋膜炎可以说困扰着很多跑者,并且一旦发生这个伤病,往往病程迁延,时好时坏。
研究显示,每年有200万美国人受到足底筋膜炎的困扰。
最新研究探讨了跑鞋鞋头跷度对于人体步行的跖趾关节的受力的影响,研究结果对于解释足底筋膜炎的发病机制具有重要的指导意义。
什么是足底筋膜?
人的脚是由众多足骨所构成的一个拱形构架,这种拱形结构连同脚底多层软组织(脂肪垫、筋膜)构成了足弓。
足弓可以发挥很好地适应地面,缓冲足着地时的撞击力、避免足底血管神经免受压迫等作用。
足底筋膜就是位于足底的软组织,它起自脚跟处的跟骨,向前止于脚趾,由于脚趾头有五个,足底筋膜向前分叉为五束,足底筋膜的主要功能是缓冲,同时也协助维持足弓。
足底筋膜特殊的卷扬机效应
在跑步时脚离地过程中,脚趾头特别是大脚趾也会用力,此时脚趾背屈时相当于在足底筋膜远端产生张力,坚硬的足底筋膜就会被动牵拉跟骨,产生“卷扬机效应”,使足弓抬高。
跷大脚趾会牵拉筋膜抬高足弓

跑鞋鞋头跷度
对于足底筋膜的影响
现代跑鞋鞋头都是上翘的,为什么要设计成上翘的鞋头,据称这样的设计有利于快速滚动着地,缩短触地时间,提高跑步效率。
但这样的设计也会带来由于大脚趾的轻度上翘,会引发足底筋膜的卷扬机效应,导致筋膜处于缩短紧张状态,张力增加。
那么这会对步行产生什么影响呢?
来自德国、美国哈佛大学、美国纽约州立大学布法罗分校的科学家研究了鞋头上翘对足部生物力学的影响,研究成果发表于顶级学术期刊《自然》。
实验中,13名受试者先以舒适的步速在跑步机上光脚行走,再被要求穿着特别设计四双凉鞋重复这一过程,这些凉鞋的足趾区域会不同程度地上翘,从而模拟现代运动鞋的弯曲度。
科学家再利用放置在膝盖、脚踝、脚上的反光marker收集人体运动学和动力学数据。
离地阶段跖趾关节会产生明显的背屈运动对足底筋膜产生牵拉

结果发现,由于鞋头跷度的存在,导致在脚趾离地过程中,跖趾关节主动背屈角度变小,但并没有因此减少足底刚度,也就意味着在更小的脚趾活动中,足底筋膜产生了更大的张力;
同时这种更大张力产生本身也跟鞋头跷度导致的静止状态下,足底筋膜本身就存在一定张力,并随着跖趾关节背屈,张力进一步累加有关。
在着地最后阶段,大脚趾会产生明显的背屈运动,此时跖趾关节中心会受到地面反作用力和足底肌肉拉力两个作用力,这两个力要保持相对平衡,由于足底筋膜的张力增加,事实上就可以减少足底肌肉的用力。
这也是本研究通过逆动力学计算所得到的重要结论,也即鞋头上翘能让连接足趾与足骨关节周围的肌肉减少做功,足趾上翘幅度越大,足肌在行走时支持关节的做功也越少。
足底筋膜的张力增加减少了肌肉用力

也就是说由于鞋头跷度的存在,增加了足底筋膜的张力,有利于减少跖趾关节处的力矩,也即足底筋膜可能会减轻足底肌肉的活动。
换句话说,鞋头上翘能让连接足趾与足骨关节周围的肌肉减少做功,让跑步更省力,但这样做的代价就是足底筋膜张力增加。
这只是针对走路的研究,我们可以想象,随着速度加快,当人体跑起来的时候,鞋头跷度可能会导致足底筋膜张力进一步增加,并且抑制或破坏固有足底肌肉的力量产生,并且随着跑步距离越来越长,可能就会导致足底筋膜反复受到过度牵拉,负载过重从而引发足底筋膜炎。
综上所述,鞋头跷度从运动生物力学分析,的确会减少足底肌肉用力,让跑步似乎更轻松,但其代价是足底筋膜受力增加。
而以NEXT%为代表的现代竞速跑鞋,一方面因为碳板的放置进一步增降低了鞋的韧性,另一方面还因为较大的跟趾落差(heel to toe offset)可能造成对于足底筋膜的牵拉进一步增加;
这可能会导致在着地蹬伸过程中,推进力得到增强,而这种推进力的增强更多是依赖碳板的跷跷板作用以及中底材料的回弹作用,而不是靠肌肉收缩舒张实现;
且由于鞋底刚度增加,可能对于足底筋膜的被动牵拉所引发的卷扬机效应进一步增强,从而导致对于被动足弓维持系统(筋膜属于被动足弓维持系统,肌肉属于主动足弓维持系统)的持续负荷。
这也是为什么很多跑者穿着NEXT%尽管跑起来感觉速度有所提升,但跑完之后,小腿深层、足踝、足底等部位感觉比较累的重要原因,肌肉也许用力少了,但对于筋膜结构的牵拉负荷却增强了。
所以综上所述,现代跑鞋在提供更多高级功能的同时,也会弱化人体自身对于运动的控制,因为跑鞋似乎都是在朝着如何让人们跑步更省力,更轻松的方向发展。
但其负面影响就是破坏了人体运动本身的自然规律,从而造成对于一些人体结构比如足底筋膜某种过度牵拉,增加发生足底筋膜炎、跟腱病的风险。
足底筋膜炎
其实不是炎症,而是劳损
所谓炎症,一般有红、肿、热、痛这样的表现,但足底筋膜炎除了疼痛,往往没有肿胀、发红、发热的表现。
所以近来年,主流观点认为足底筋膜炎其实并非真正的炎症,而是由于反复的细微损伤、过度紧张引起足底筋膜的劳损和退化。
加之足底筋膜不是肌肉,本身缺乏弹性,仅能延长约4%,当足底筋膜受到很大作用力,比如跑步带来的持续高强度牵拉,难免导致结构受损。
足底筋膜炎的典型表现
患有足底筋膜炎当然会感觉足底疼痛,疼痛的具体特点包括以下几方面:
● 最典型症状:早晨醒后下床,脚落地时,足跟部疼痛最为明显,走动一会儿后疼痛会有所缓解;
● 典型症状:休息一段时间比如看电影、久坐工作后,或者足部在不负重一段时间后,站起行走的前几步出现隐隐作痛;
● 疼痛的具体位置实在在足跟靠内侧处,这里恰恰是足底筋膜从足跟发出的起点处,偶尔也有患者会反映疼痛在足底中部;
● 患者自己感觉在充分活动后如行走或跑步后,足跟部疼痛减轻,但是在长距离跑步后程,可能再次出现疼痛甚至被迫停下脚步;
哪些因素容易诱发足底筋膜炎
1、勾脚尖幅度不够
脚踝有足够柔韧性和灵活性对于跑者来说,非常重要。
如果勾脚尖幅度不够,被认为是导致足底筋膜炎最重要的风险因素。
你可以坐在床上,双脚并拢同时用力勾脚,观察自己的伤脚和健康一侧脚的勾脚幅度是否相同。
勾脚尖不足通常表明小腿和跟腱较紧。
2、肥胖
超重或者肥胖人群由于体重较大,使得人体最低处——足底承受了比较大的压力,自然足底筋膜容易受到过大的体重的牵拉,而导致劳损。
因此,希望通过跑步减肥的胖纸们要当心了。
3、久站的职业工作
长时间站立或者行走,比如商场营业员也是足底筋膜炎的高危人群。
4、突然增加跑量
足底筋膜炎往往发生在近期突然增加跑量、提高跑步强度的跑友身上。
此外,越野跑也容易诱发足底筋膜炎。因此,循序渐进仍然是跑友们应该遵循的基本训练原则。
5、扁平足/高足弓
扁平足本身是一种正常现象,许多马拉松运动员也是扁平足,但如果扁平足同时伴随足踝力线异常(跟骨轴线与跟腱轴线不成一条直线),专业术语称为脚外翻。
过度外翻会导致足底筋膜受到更大的负重应力而容易诱发足底筋膜炎。
高足弓又称为弓形足,也是足底筋膜炎的危险因素,所以足弓的正常很重要,过高过低都不利。
如何检查自己
是否患有足底筋膜炎?
足跟特定部位按压疼痛和晨起下床足跟痛,是判断足底筋膜炎的重要依据。
此外,跑友可以通过一个被称为“卷扬机试验”的测试来进行自我诊断。
采用坐位,握住大脚趾,将大脚趾用力背伸,如果诱发疼痛,则提示是足底筋膜炎。
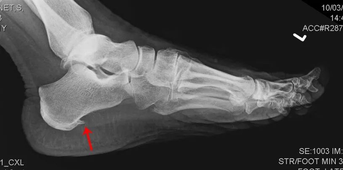
有跑友到医院检查,拍片后显示有跟骨骨刺(专业术语称为跟骨骨赘),大惊失色,会认为足底长出骨刺自然戳着疼。
其实,骨刺不是导致疼痛的主要原因,骨刺刺激了足底筋膜才是产生疼痛的主要原因,足底筋膜炎治好了,自然疼痛也就消失了,所以对于跟骨骨刺不必过度担心。
如何治疗足底筋膜炎?
足底筋膜炎治疗方式众多,但真正经得起推敲,效果明显的方法其实没有那么多。
根据美国物理治疗协会对于足底筋膜炎的治疗物理指南,有效方法有这样一些。
1、矫形鞋垫
定制适合你的矫形鞋垫,可纠正不正常的足过度外翻,较快缓解疼痛及改善功能,被认为是效果最佳的治疗方法。
鞋垫分为两种,一种是去商店或者在网上买的统一规格的鞋垫,一种是到一些康复机构定制鞋垫,如果你的足底筋膜炎经久不愈,可以考虑定制鞋垫,但成本较高。
2、拉伸
充分地拉伸小腿和足底筋膜,也是缓解足底筋膜炎的有效方法,因为小腿过紧是足底筋膜炎的危险因素,反复拉伸小腿,对于改善足踝柔韧性,减少足底筋膜张力非常重要。
要注意针对伤痛的拉伸与跑后拉相比,拉伸的时间更长,次数更多。
足底筋膜专用牵拉器

小腿常规拉伸
小腿后群深层肌肉拉伸
采用前后脚站位,后脚脚跟踩地,膝盖积极下压,该动作可以很好地拉伸小腿后群深层的比目鱼肌。
小腿外侧肌肉拉伸
用双手从脚踝内侧抓住足弓外缘,让脚呈现轻度内翻,然后用力伸直膝盖,这时整个小腿外侧从上到下都能感受到强烈的拉伸感,是不是小腿外侧从来没有拉伸过?
小腿放松之网球按揉技术
网球体积小巧,可以针对小腿前后内外所有肌肉进行有效放松,既可以做滚揉,也可以在特别疼痛的位置(痛点,又称为扳机点)进行持续按压30-40秒。
注意看下列动作细节
👇👇👇
小腿后侧肌肉放松

小腿外侧肌肉放松
小腿内侧肌肉放松

小腿前侧肌肉放松
足底肌肉放松
小腿放松之泡沫滚筒滚揉技术
采用泡沫滚筒对肌肉放松既可以做滚揉,也可以在特别疼痛的位置进行持续按压30-40秒,将身体略微撑起,注意滚动速度不要太快,不可产生明显疼痛。
小腿后侧肌肉放松
小腿后侧加强放松

小腿外侧肌肉放松
小腿内侧肌肉放松
小腿前侧肌肉放松
小腿旋转放松

3、理疗
0.4%地塞米松或5%醋酸应用离子导入法局部治疗,冲击波治疗等等都可以在短期(2-4周)缓解疼痛。
4、夜间夹板
由于在晚间睡眠时,足底筋膜炎患者会发生足底筋膜挛缩,这是导致第二天早上晨起下床时,足底剧痛的直接原因。
因此,采用特制的夜间夹板可以防止睡眠时足底筋膜挛缩,对于患该病6个月以上仍无改善的患者,可以采用夜间夹板。
5、贴扎
跑友们还可以在跑步前尝试使用low-Dye贴扎法,研究表明,贴扎可使功能得到改善,减轻疼痛。
至于手法治疗,跑友还得咨询医院康复科治疗师。
主动康复训练
除了充分拉伸放松小腿足踝肌肉,积极强化小腿足踝力量,加强小腿深层稳定足弓肌肉的训练以及强化因为长期穿鞋而弱化的足底肌肉都显得十分重要。
强有力的小腿和足踝肌肉,不仅可以增加跑步的推进力,让你跑得更轻松,也可以充分发挥肌肉在腾空落地时的缓冲作用,减少对于足底筋膜的过度牵拉。
所以无论是预防,还是更快地康复足底筋膜炎,小腿和足踝力量训练都十分重要。
当然,除了针对性小腿足踝肌肉的训练,强化核心肌群以及臀肌,纠正错误力线,对于足底筋膜炎康复也不必可少。

也就是说足底筋膜炎的康复既需要针对局部进行训练,也要针对全身来进行康复,具体怎么练,请加入足底筋膜炎康复课程。
了解更多请👇点击
文末阅读原文
总结
足底筋膜炎是跑步劳损性损伤发生在足底的典型代表,现代跑鞋由于弱化了肌肉控制,所以从某种意义上说增加了跑者发生足底筋膜炎的风险,而我们现在已经不可能赤脚跑步。

所以强化足底小腿肌肉训练,对于足底筋膜炎休息、治疗、康复三管齐下,才能更好地解决这个困扰跑者的难题。


限时优惠:10月31日截止
原价:399元
限时优惠:299元
扫码查看课程
课程介绍
本伤痛康复训练课程主要针对:轻中度足底筋膜炎患者,旨在通过改善相关肌肉的伸展性和弹性,逐步加强肌肉力量训练、提高稳定性,为进一步肌肉强化打好基础。
课程训练康复分为以下三个阶段
新旧版新前侧课程对比
你将收获