新浪体育 综合体育

最难缠的跑步伤痛——关于足底痛

慧跑

关注

☝ 蓝字,关注慧跑

足底痛,又称为足跟痛,学名足底筋膜炎,是跑友常见的五大伤痛之一,对部分跑友造成不小的困扰。

据估计,每年大约有200 万美国人患有足底筋膜炎,相当于10%的美国人在一生中曾遭受足底筋膜炎的折磨。

研究显示,足底筋膜炎在运动和非运动人群中均普遍存在,尤其是在跑步人群中高发,是最常见的足部疾病。

美国物理治疗协会已经在全面总结足底筋膜炎研究文献的基础上,发布了权威的治疗指南。今天,慧跑为跑友解读指南,帮助跑友尽快摆脱伤痛困扰。

1

什么是足底筋膜及其功能

人的脚是由众多足骨所构成的一个拱形构架,人在走路或者跑步过程中,足骨自然受到地面很大的反作用力,硬碰硬当然会很痛,试试看手握拳打墙壁?所以,脚底覆盖有多层软组织(脂肪垫、筋膜)用来缓冲足着地时的撞击力。

足底筋膜就是位于足底的软组织,它起自脚跟处的跟骨,向前止于脚趾,由于脚趾头有五个,所以足底筋膜向前分叉为五束,足底筋膜的主要功能是缓冲,同时也协助维持足弓。

在跑步过程中,脚趾头特别是大脚趾也会背伸用力,在脚离地瞬间再助推一把力,此时,脚趾背屈时相当于在足底筋膜远端产生张力,坚硬的足底筋膜就会被动牵拉跟骨,产生“卷扬机效应”,使足弓抬高缩短。

2

足底筋膜炎并不是炎症

所谓炎症,一般有红、肿、热、痛这样的表现,但足底筋膜炎除了疼痛,往往没有肿胀、发红、发热的表现,所以近来年,主流观点认为足底筋膜炎其实并非真正的炎症,而是由于反复的细微损伤、过度紧张引起足底筋膜的劳损和退化。加之足底筋膜不是肌肉,本身缺乏弹性,仅能延长约4%,当足底筋膜受到很大作用力,比如跑步带来的持续高强度牵拉,难免导致结构受损。

3

足底筋膜炎的典型表现

患有足底筋膜炎当然会感觉足底疼痛,疼痛的具体特点包括以下几方面:

最典型症状:早晨醒后下床,脚落地时,足跟部疼痛最为明显,走动一会儿后疼痛会有所缓解;

典型症状:休息一段时间比如看电影、久坐工作后,或者足部在不负重一段时间后,站起行走的前几步出现隐隐作痛;

疼痛的具体位置实在在足跟靠内侧处,这里恰恰是足底筋膜从足跟发出的起点处,偶尔也有患者会反映疼痛在足底中部;

患者自己感觉在充分活动后如行走或跑步后,足跟部疼痛减轻,但是在长距离跑步后程,可能再次出现疼痛甚至被迫停下脚步,还有患者反映晚间足跟部疼痛会加重;

足底筋膜炎女性更为多见。

4

诱发足底筋膜炎的因素

1. 勾脚尖幅度不够

脚踝有足够柔韧性和灵活性对于跑者来说,非常重要。如果勾脚尖幅度不够,被认为是导致足底筋膜炎最重要的风险因素。你可以坐在床上,双脚并拢同时用力勾脚,观察自己的伤脚和健康一侧脚的勾脚幅度是否相同。勾脚尖不足通常表明小腿和跟腱较紧。

2. 肥胖

超重或者肥胖人群由于体重较大,使得人体最低处——足底承受了比较大的压力,自然足底筋膜容易受到过大的体重的牵拉,而导致劳损。因此,希望通过跑步减肥的胖纸们要当心了。

3. 久站的职业工作

长时间站立或者行走,比如商场营业员也是足底筋膜炎的高危人群。

4. 突然增加跑量

足底筋膜炎往往发生在近期突然增加跑量、提高跑步强度的跑友身上。此外,越野跑也容易诱发足底筋膜炎。因此,循序渐进仍然是跑友们应该遵循的基本训练原则。

5. 扁平足/高足弓

扁平足本身是一种正常现象,许多马拉松运动员也是扁平足,但如果扁平足同时伴随足踝力线异常(跟骨轴线与跟腱轴线不成一条直线),专业术语称为脚外翻,过度外翻会导致足底筋膜受到更大的负重应力而容易诱发足底筋膜炎。高足弓又称为弓形足,也是足底筋膜炎的危险因素,所以足弓的正常很重要,过高过低都不利。

5

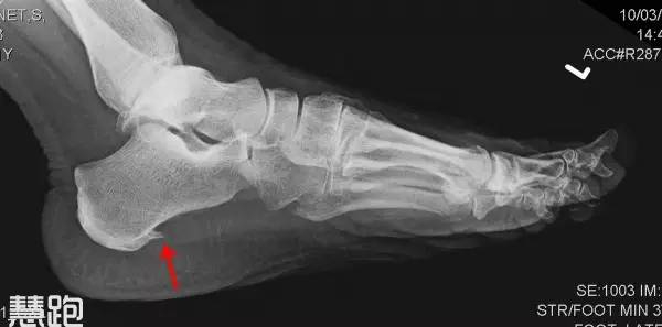
足底筋膜炎的检查

足跟特定部位按压疼痛和晨起下床足跟痛,是判断足底筋膜炎的重要依据。此外,跑友可以通过一个被称为“卷扬机试验”的测试来进行自我诊断。采用坐位,握住大脚趾,将大脚趾用力背伸,如果诱发疼痛,则提示是足底筋膜炎。

有跑友到医院检查,拍片后显示有跟骨骨刺(专业术语称为跟骨骨赘),大惊失色,会认为足底长出骨刺自然戳着疼。其实,骨刺不是导致疼痛的主要原因,骨刺刺激了足底筋膜才是产生疼痛的主要原因,足底筋膜炎治好了,自然疼痛也就消失了,所以对于跟骨骨刺不必过度担心。

6

足底筋膜炎的治疗

足底筋膜炎治疗方式众多,但真正经得起推敲,效果明显的方法其实没有那么多。

1. 矫形鞋垫

定制适合你的矫形鞋垫,可纠正不正常的足过度外翻,较快缓解疼痛及改善功能,被认为是效果最佳的治疗方法。需要注意的是鞋垫是个性化的,而非随意买一个放在鞋子里,不合适的矫形鞋垫是没有意义的。这方面你需要咨询医院康复科矫形支具部门或者专业机构。

2. 拉伸

充分地拉伸小腿和足底筋膜,也是缓解足底筋膜炎的有效方法,因为小腿过紧是足底筋膜炎的危险因素。反复拉伸小腿,对于改善足踝柔韧性,减少足底筋膜张力非常重要。可以采用两种拉伸方式:第一种为每次拉伸持续2分钟,重复2-3次;第二种为每次拉伸20秒,重复8-10次。跑友们可以发现,针对伤痛的拉伸与跑后拉相比,拉伸的时间更长,次数更多。

小腿浅层腓肠肌牵拉感最强烈的动作之一

小腿浅层腓肠肌站立位牵拉两个常用动作

小腿深层比目鱼肌的牵拉动作,后脚踩实地面,充分屈膝,感受跟上述动作不一样的牵拉感。浅层肌肉和深层肌肉都要拉伸才能全面放松紧张的小腿。

足底筋膜拉伸:握住脚跟,将脚趾头上掰

来回踩网球放松足底筋膜

3. 理疗

0.4%地塞米松或5%醋酸应用离子导入法局部治疗,冲击波治疗等等都可以在短期(2-4周)缓解疼痛。

4. 夜间夹板

由于在晚间睡眠时,足底筋膜炎患者会发生足底筋膜挛缩,这是导致第二天早上晨起下床时,足底剧痛的直接原因。因此,采用特制的夜间夹板可以防止睡眠时足底筋膜挛缩,对于患该病6个月以上仍无改善的患者,可以采用夜间夹板。

5. 贴扎

跑友们还可以在跑步前尝试使用low-Dye贴扎法,研究表明,贴扎可使功能得到改善,减轻疼痛。至于手法治疗,跑友还得咨询医院康复科治疗师。

7

如何预防和康复足底筋膜炎

强有力的小腿和足踝肌肉,不仅可以增加跑步的推进力,让你跑得更轻松,也可以充分发挥肌肉在腾空落地时的缓冲作用,减少对于足底筋膜的过度牵拉,所以无论是预防,还是更快地康复足底筋膜炎,小腿和足踝力量训练都十分重要。

1. 小腿后群肌肉训练—快起慢落

找一个台阶或者凳子,脚前掌踩在上面,做快起慢落的练习,要求提踵1-2秒,而还原落下6-8秒,找一台阶的目的是让脚跟悬空,下落时可以让脚跟落至低于脚前掌。完成12-16个为一组。

2. 小腿前群肌肉训练—连续快速勾脚

双脚做快递勾脚动作30-40次,直至小腿前方肌肉疲劳。小腿前方肌肉过度薄弱和缺乏锻炼,往往是跑友存在的普遍问题,只有小腿前方与后方肌肉均衡拮抗,才能最大程度保证脚踝稳定。

3. 落地缓冲训练

落地缓冲对于训练肌肉缓冲能力,减少足底筋膜受力具有重要意义。注意关键动作要领是从脚前掌着地过渡到脚跟落地,落地时没有声响说明缓冲良好,同时落地后要保持单脚站立稳定2秒,这样也可以训练脚踝稳定性。

4. 抓毛巾训练

抓毛巾训练是足底筋膜炎康复的经典方法,因为这一动作可以增强足底肌肉扒地能力,从而维持足弓,减少筋膜负荷。注意动作要领是先张开脚趾,下压毛巾再用力抓起毛巾,动作速度不可过快。

5. 脚踝稳定性训练

通过睁眼及闭眼单脚站立,可以有效训练脚踝稳定性,减少脚踝不稳对于筋膜的过度牵拉,同时增强神经肌肉控制。

8

总结

足底筋膜炎是跑步劳损性损伤发生在足底的典型代表,80-90%的病例经过积极治疗康复一般来说预后良好。休息首先是十分必要的,这样可以给予软组织足够修复和恢复时间;其次,寻求专业的运动医学医生和康复治疗师帮助,他们可以更有针对性地制订个性化的治疗方法;当然,加强小腿和足踝肌肉训练必不可少。

如果进行治疗康复,仍然不见好转,那么就要从力学或者跑步训练方面找原因了,看看是不是跑姿,下肢力线异常等问题了。

跑步运动研习社邀请3位国家级导师精心打造《足底筋膜炎康复与防护》系列课:

详解:足底筋膜炎的康复与防护

一站式解决:足底筋膜炎带来的困扰

帮助:你预防、减轻伤痛,离无伤跑更进一步

课程大纲▼

扫码了解课程

学完这门课程,你能收获什么?

1. 一整套治疗足底筋膜炎的方法;

2. 足底筋膜炎康复训练方案;

3. 足底筋膜炎机贴使用与防护;

4. 课程内容永久观看;

哪些人适合学习这门课?

1. 跑步爱好者,马拉松人群;

2. 长期站立工作人群;

3. 高足弓、扁平足等足底筋膜炎高发人群;

4. 想延长跑步寿命、预防伤痛的人群;

一站式解决足底筋膜炎带来的困扰

加载中...