家用体脂秤准吗?这篇文章告诉你真实答案
体育综合
越来越多的大众会购买一台家用体脂秤,用于了解自己的体重和身体脂肪百分比,是减肥和体重控制必备的工具,并且目前市面上主流体脂秤,比如华为、小米、有品等体脂秤价钱也不太贵,一般也就100元左右,通过蓝牙与手机APP相连,不仅可以得到一大堆数据,同时也可以看到身体成分的长期变化,方便而实用。

大家为什么愿意花钱买体脂秤而不是体重秤呢?体重秤只能看到体重这一个数字,而体脂秤则可以得到一大堆数据,比如体脂率、去脂体重、脂肪重量、肌肉重量、骨量、水分等等,给人高大上的感觉。
同时随着人们健康意识的增强,大家也逐步认识到体重这一个指标太过简单,想要更全面的评估自己的体型和健康程度,体脂秤就必不可少了。因此,哪怕体脂秤稍微贵一些,人们也愿意花更多钱购买。
体脂秤可以得出大量参数


当然,把体脂秤买回家之后,人们最关心的问题就是我买的体脂秤测量身体脂肪含量准不准呢?
今天我们就来科学分析一下这个问题
一、什么是体脂率所谓体脂率就是指身体脂肪含量占体重百分比,这里的脂肪既包括内脏脂肪,也包括皮下脂肪,皮下脂肪就是我们摸到的皮肤下面软软的那一层结构,内脏脂肪则摸不到,它们位于内脏周围,起到承托内脏器官、参与代谢调节等作用。皮下脂肪厚的人通常内脏脂肪也会多,当然也有人皮下脂肪不太明显,而内脏脂肪较多,这种情况多见于隐性肥胖。

体脂率过高则意味着身体内的脂肪太多,也就是我们所说的太胖了,肥胖已经成为全球公害,社会进步和自动化程度提高带来的缺乏运动、营养过剩是导致人类肥胖的主要原因。
美国1/3人口超重,1/3人口肥胖,中国则是30%的人超重,12%的人肥胖,超重肥胖容易引发高血压、冠心病、糖尿病、癌症等一系列严重的健康问题。因此,想要保持健康,控制体重优先。

下面这张表格为我们展示了不同性别体脂率的划分标准以及理想跑者应该达到的体脂率。大众可以通过适当的运动训练和控制饮食来降低体脂率,达到与他们的性别和年龄相符的理想的体脂率。
体脂率(%)评价标准

体脂率作为一个重要的评价肥胖和健康程度的指标,想要准确测量却并非易事,以下是几种方法是最为准确的方法。
水下称重法:这种方法是一种古老的经典方法,它要求将人体(包括头部)完全浸没在水中,再呼出肺内气体,这时如果坐在一个放置于水中的秤中,就可以称量你的水下重量。
根据阿基米德原理,你排开水的重量等于浮力,由于浮力与体重相当,这时秤的读数就几乎为零,带入相关公式就可以精确得到你的体脂率,显然这种方法太过繁琐,很难开展。

双能X射线法:"双能"是指X射线中的两种能量,一种为高能量射线,另外一种是低能量射线。
双能X射线透过被测物质后其射线强度和能谱均会产生变化,这些变化包含了物质的质量和密度等信息,通过对比高能X射线的透射图像和低能X射线的透射图像之间的差异就可以精准评估你体内的脂肪含量。

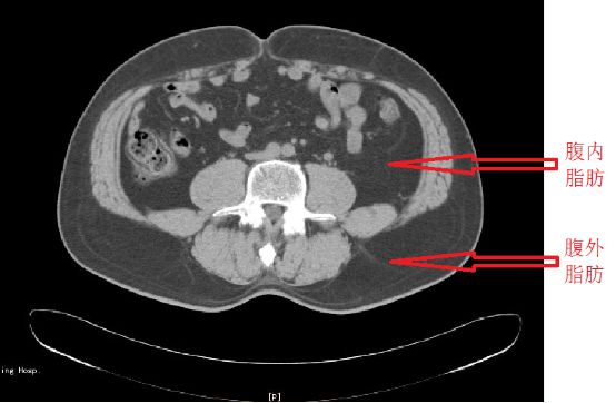
CT 或 MRI 技术:被认为是测量内脏脂肪的先进手段,是目前公认的测量内脏脂肪含量的金标准。
腹部脂肪的 CT 测量,要求病人在空腹状态下采用 CT 行腹部扫描(如下图)。当然,这种测试一般是用于科研,很少有人为了准确测量内脏脂肪跑去医院做CT 或 MRI检查吧。

由于上述方法要么成本昂贵,要么不易开展,基本只能在科学研究中加以应用,那么有没有面向大众的低成本的体脂率测量方法呢?
有的,这就是生物阻抗技术,也即体脂秤采用的技术。其原理很简单,脂肪组织含水少,电阻大,而肌肉组织含水多,电阻小,当有微弱电流通过人体时,通过电阻大小就可以而评价脂肪含量。
所以体脂秤表面都有金属接触电极,当你脚踩上去之后,这时就会有你无法感知到的微弱电流通过人体,进而根据生物体阻抗值计算你的体脂率。

这是大众最为关心的问题。体脂秤的精度是由根据生物阻抗值计算体脂率的算法的准确性所决定的,所以厂家会把自家体脂秤测量的结果与水下称重法、双能X射线法、CT 或 MRI 技术测量得到标准体脂率进行对比验证,如果一致性高,这台体脂秤就是准的。
但无论如何,体脂秤都存在一定系统误差,不大可能100%准确。比如你实际体脂率是20%,而体脂秤称出来是21%,其实你完全没有必要纠结这1%的误差。
因为当你的体脂率从20%下降到16%时,体脂秤的结果显示基本也能从21%下降到17、18%,换句话说,当你真的减肥成功,体脂百分比下降,你的体脂秤也是完全可以发现的。

所以说,体脂秤准不准是相对的,对于你个人而言,都是准确的,当你长胖或者变瘦时,体脂秤都能发现。因为你进行的是个人的纵向观察。瘦不下来,怪仪器不准,这是典型的掩耳盗铃心态。
五、体脂秤为什么一天测量多次结果都会发生波动体脂秤是根据体内生物阻抗值计算体脂率的,所以身体当时的状态,比如身体水分含量、皮肤干燥度等等都会影响到测量结果。人的脂肪含量和体脂率是不可能在一天之内发生大幅度波动的,因此,每天多次测量体脂率发生的波动你权当看看就行了,别太在意。

事实上,我们也不主张大家每天称量体重,短时间内体重变化跟进食、运动、出汗、饮水等都有关,不代表脂肪含量大幅度变化。因此,每隔几天或者每隔一周称量一下体重和体脂就行了,不需要天天测试,那样只会徒增自己看到数字变化的烦恼。
当然,在称量体重和体脂时,尽量保证称量的时间、条件一致,比如你都是早上晨起空腹、排空大小便后称量,或者都是晚上睡觉前测量。
六、健身房体检中心的体脂秤会比家用的体脂秤更精确吗健身俱乐部、健康体检的体脂秤一般会采用大型多点式电极体脂秤,也即手上、脚上都有接触电极,而家用体脂秤一般就是两点式电极,两点式电极体脂秤的电流基本从一条腿到另一条腿,而多点式电极体脂秤电流会通过全身,特别是内脏部位。
总体而言,多点式电极体脂秤精度可能会更高一些,但并不等于没有误差。其实体脂率和体重、BMI、腰围等指标也是呈现显著的线性关系,体重越大,BMI越大,体脂率自然越高,你的BMI是多少,基本体脂率也就是一个大差不差的数字。一些健身教练会告诉你他们的体脂秤会比你家用的体脂秤准确,其最终目的不过是让你买他们的私教课罢了。

体脂秤作为有效的健康小工具,可以促进大家养成健康生活方式,值得购买,关于是否准确的问题,大家不必太过纠结,因为你用它来是进行纵向对比,只要是大品牌、大厂家的体脂秤一般都是值得信赖的。

【本文来自微信公众号“慧跑”】