跑步小腿会痛?三种跑者常见小腿损伤应对之策
体育综合
近年来,跑步逐渐成为风靡全球的时尚运动,涌现出越来越多的跑步爱好者,大大小小的马拉松赛事也层出不穷。然而,由于缺乏长期、系统、科学的训练,不少跑友常常会在跑完步会出现多种小腿不适状况。尤其是在赛事跑之后,第二天的小腿发抖、脚踝疼痛等,完全冲散了完赛后的骄傲和喜悦。那么,如何才能避免这种情况发生呢?今天,小编就带你学习三种常见的小腿损伤及应对之策。
胫骨前肌紧绷

胫骨前肌位于小腿前侧和胫骨外侧。它起于腓骨的整个前侧,经过脚踝和足部顶部,与大脚趾相连。胫骨前肌的功能是收缩踝关节,内翻足部(旋后)。
如果快步行走时无法适应这种强度,胫骨前肌就可能出现紧绷。肌肉在跑步或骑踏板上有脚扣的自行车时也会紧绷。
症状:
●腓骨外侧疼痛。
●踝关节疼痛。
●由于足部仰转能力有限,走路或跑步时脚底无法向上抬起。
缓解和预防方法:
●如果上述位置感觉疼痛,请不要跑步或骑车。可以适当运动,一旦出现不适请立即停止。
●每天拉伸几次下述肌肉,在健身前后同样也需要拉伸。
●如果疼痛转为慢性疼痛,请寻求专业人士的帮助。

拉伸胫骨前肌:找一处略高于膝盖的柔软平面。可以选择一张较高的长凳,或者在凳子上放两个枕头。靠近凳子站立,脚踝放在凳子上。右手放在脚后跟上,手指朝前以便抓住脚跟。用手向前方和下方按压脚后跟,拉伸5至10秒,直至脚踝前侧出现轻微刺痛感。放松肌肉5至10秒。脚趾下压凳子表面5至10秒以产生抗阻力。放松肌肉5至10秒。继续向下方和前方按压脚后跟以进一步拉伸,直至到达新的终止点。重复2到3次。
胫骨内侧应力综合症

胫骨内侧应力综合症是指胫骨内侧的受压迫的综合病症,因为胫骨和在肌肉和胫骨之间的连接组织被使用过度引发的运动损伤,一种由于胫骨肌肉撕裂引起的疼痛。
症状:
●沿着小腿内则出现隐痛,酸痛或疼痛,甚至疼痛感一直蔓延至膝盖,通常在胫骨偏下方的位置。
●疼痛感最明显出现在跑步前,但在跑步过程中当肌肉放松后,疼痛感逐渐消失,和应力骨折不同,疼痛一般发生在剧烈的承重运动例如爬梯等。
缓解和预防方法:
●当疼痛加剧时,立刻停止跑步,如果轻微疼痛,降低训练强度,避免下坡跑步以及那些带坡度或倾斜的路面。
●在胫骨周围用冰敷——每2小时冰敷10分钟,目的缓解炎症加剧。
●注意拉伸腓肠肌和比目鱼肌,每天2-3次。
●跑步前注意完整拉伸。

拉伸腓肠肌:找一处牢固的物体边缘,如台阶或几本电话簿。右脚脚掌踩在平面上(约三分之一脚长),足弓和脚后跟悬空。放松小腿,让脚后跟顺势落下进行拉伸。放松肌肉5至10秒。腓肠肌发力上提身体2.5~5厘米的距离以产生抗阻力。放松肌肉5至10秒。脚后跟继续向下落下以进一步拉伸,直至肌肉再次出现轻微刺痛感。到达新的终止点。
比目鱼肌位于腓肠肌下层。与跟腱相连。起于小腿腿骨的后侧,连接至脚后跟。它也负责绷脚尖。

拉伸比目鱼肌:找一面靠近门的墙,将门打开以帮助你保持平衡,增加身体前倾的幅度。前脚掌抵住墙壁,脚后跟踩在地面上。用后面的腿保持身体平稳。抓住门框小心地弯曲右膝。收紧腹部并挺直上半身。你现在的姿势就是初始姿势。膝盖保持弯曲,腿部和上半身小心地向前倾斜,拉伸肌肉5至10秒,直至小腿出现轻微刺痛感。放松肌肉5至10秒。拉伸腿的脚小心地踩压墙面,试着绷直脚尖5至10秒以产生抗阻力。放松肌肉5至10秒。保持膝盖弯曲,腿部和上半身继续向前倾斜以进一步拉伸,直至到达新的终止点。拉伸动作重复2到3次。
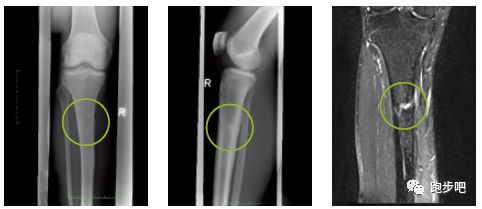
应力性骨折

症状:
●早期的应力性骨折通常表现为骨挫伤,也可能会伴随其他损伤(如前交叉韧带撕裂)。
●下肢没有受到过外部激烈的碰撞而出现突然性疼痛,而且这种疼痛使人不能继续跑步,或者很难继续跑步。
●单足站立时局部出现疼痛,或者单足跳时出现疼痛。
●用手指压痛处时出现钻心的疼痛感。
●疼痛点在完全停止跑步后在一段时间内会自然消除。
缓解和预防方法:
●应力性骨折中包括骨挫伤,受伤人员需要休息及固定,有时甚至不能负重。
●在进行循序渐进的负重训练的过程中,应以受伤人员无疼痛感为治疗原则。有时需要根据受伤人员伤情的严重程度选择训练方式(如骑自行车而非跑步)。
●伤情严重时,受伤人员可能需要漫长的恢复治疗,包括利用拐杖以避免伤侧负重及利用石膏对伤处进行固定等。
●如果受伤骨不能自行修复,则需通过手术使其保持稳定。
据了解,小腿部位发生的损伤占全身各部位损伤的20%左右,仅次于膝关节损伤,是跑步爱好者常见的问题。一旦跑步后出现小腿不适,千万不可掉以轻心,一定要针对症状,有的放矢地进行缓解和治疗,必要时寻求专业人士帮助。当然,最好是防患于未然,在日常训练中提高意识,遵从科学的训练方法,注重训练前后的肌肉拉伸,有效预防各类身体损伤。

内容来源:《精准拉伸:疼痛消除和损伤预防的针对性练习》,人民邮电出版社出版。
【本文来自微信公众号“跑步吧”】